首页 >> 肺癌 >>
肺癌的早期診斷和治療:了解症狀和檢查方法

看文字太慢,一鍵在線咨詢更快捷
 
肺癌是一種常見的惡性腫瘤,對患者的健康和生命造成了巨大的威脅。早期診斷和治療對于提高肺癌的治愈率和生存率具有重要意義。肺癌的早期診斷和治療方法,幫助患者更好地了解自己的病情并采取相應的治療措施。
 
一、肺癌的症狀
 
肺癌的症狀通常包括咳嗽、咳痰、胸痛、呼吸困難等。然而,這些症狀往往被忽視或誤認爲是普通感冒或其他疾病的症狀。因此,對于有長期吸煙史、家族遺傳傾向或其他高危因素的人,應密切關注自己的身體狀況,一旦出現上述症狀,應及時就醫。
 
二、肺癌的檢查方法
 
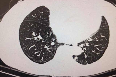
胸部X光和CT掃描:胸部X光和CT掃描是常用的檢查方法,可以發現肺部腫塊、結節等異常病變。然而,這些方法往往難以區分良性和惡性病變,需要進一步檢查。
 
支氣管鏡檢查:支氣管鏡檢查是一種通過鼻腔或口腔将細長管道插入肺部進行檢查的方法。它可以觀察氣管和支氣管中的病變情況,并取組織樣本進行病理學檢查。
 
痰液檢查:痰液檢查是通過收集患者的痰液樣本進行病理學檢查的方法。它可以檢測出痰液中的癌細胞,有助于早期診斷肺癌。
 
血液檢查:血液檢查可以通過檢測血液中的腫瘤标志物、特定的基因标志物等來判斷患者是否患有肺癌。
 
三、肺癌的早期診斷
 
對于肺癌的早期診斷,醫生通常會根據患者的症狀、體征和檢查結果進行綜合判斷。如果發現肺部異常病變,醫生會建議進行病理學檢查以明确診斷。同時,對于有家族遺傳傾向或其他高危因素的人,醫生也會建議進行定期篩查和監測,以便早期發現和治療肺癌。
 
四、肺癌的治療方法
 
手術治療:手術治療是早期肺癌的首選治療方法,包括肺葉切除、局部切除等手術方式。手術治療可以有效地清除癌腫,提高患者的生存率。
 
藥物治療:藥物治療包括化療、靶向治療和免疫治療等。化療可以殺死癌細胞,減輕症狀;靶向治療可以針對特定的基因變異進行精準治療;免疫治療則通過激活患者自身的免疫系統來攻擊癌細胞。
 
放療:放療是一種通過高能射線殺死癌細胞的方法,通常用于手術後或無法進行手術的患者。
 
綜合治療:綜合治療是結合手術、藥物治療和放療等多種治療方法,以達到治療效果。
 
肺癌的早期診斷和治療對于提高治愈率和生存率具有重要意義。了解肺癌的症狀和檢查方法,密切關注自己的身體狀況,及時就醫并進行針對性的治療,是預防和治療肺癌的關鍵。同時,加強公衆對肺癌的認知和教育,提高高危人群的篩查意識和參與度,也是預防和控制肺癌的重要措施。
 
常見腫瘤健康科普

廣州中醫藥大學金沙洲醫院國際精准腫瘤中心

本網站信息僅提供給您作為健康參考,請勿將它作為診斷或治療的唯一依據。

Copyright 2011 - 2023 www.gzjszyy.com All Rights Reserved.
SiteMap